近日,陕健医二一五医院咸阳骨科医院骨二科(创伤骨科)接诊并成功抢救一名大腿钢筋贯通伤患者。

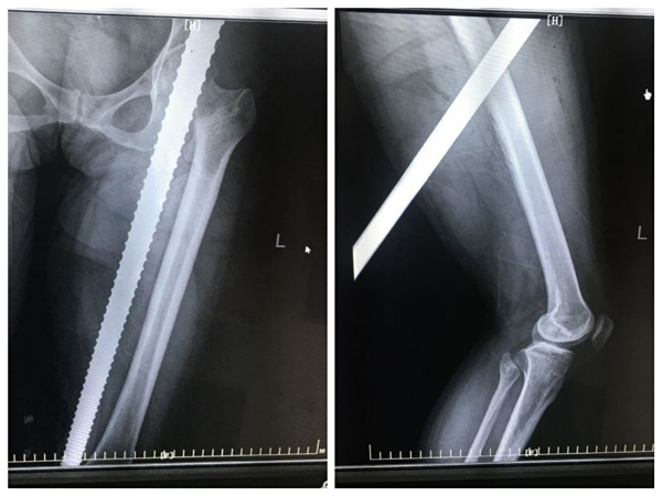
46岁的患者李女士,在工地干活时不慎被坠落的钢筋刺穿右侧大腿,受伤后流血不止,被工友紧急送至二一五医院,经检查发现,只见患者右侧大腿中段可见直径18mm的钢筋自大腿上段前侧刺入,下段后内侧穿出,触目惊心,情况非常危急。

时间就是生命,骨二科接诊大夫立即通知郭永良主任,并紧急完善相关术前检查,开通绿色通道,积极联系麻醉科与手术室,做好术前准备。郭永良主任、王争刚副主任医师查看病人后。果断指示行急诊手术行钢筋取出血管神经探查术,手术中经探查发现钢筋距离股动脉的距离仅0.5cm,十分危险。术中小心仔细分离并保护好血管、神经后,行钢筋取出清创缝合术,手术成功。此时,距离患者入院仅用时125分钟。

术后骨二科医护人员严密关注肢体末梢血运,定时为患者翻身、拍背,鼓励患者加强患肢功能锻炼,术后2周,患者伤口愈合拆线,可自行下地行走。
在此次危重患者的救治中,二一五医院骨二科充分发挥多学科联合救治、绿色通道通畅的优越性,急诊科、手术室、麻醉科、放射科、检验科等相关科室通力协作、无缝衔接,大大降低了创伤患者的致残率和死亡率,为成功抢救患者争取了宝贵的时间,挽救了一个年轻、鲜活的生命,也为今后此类严重创伤患者的成功救治提供了宝贵的经验。

