近日,一位因搅拌机绞压胸腹部及左上肢的重症胸外患者在陕健医二一五医院急诊科、胸外科、创伤骨科、普外科、手麻科等多学科共同努力下成功脱险,再一次创造了生命的奇迹。
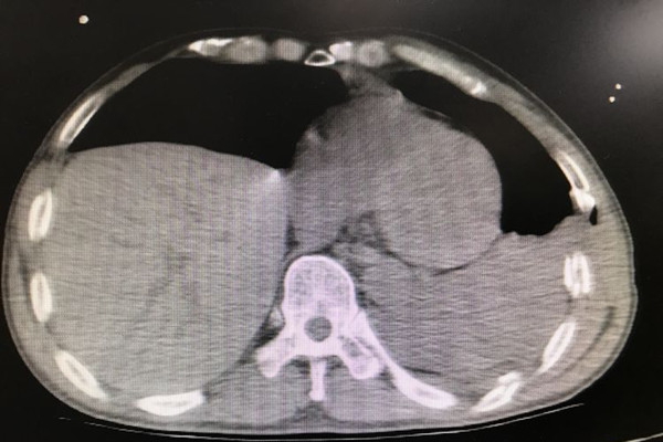
患者李某,在工作时不慎被搅拌机绞压胸腹部及左上肢,急诊转入我院时,颜面部青紫,上半身遍布出血点,左侧胸廓塌陷,反常呼吸明显,右侧呼吸音明显减弱,腹部压痛明显,左上肢严重毁损,情况十分危急。急诊科医护人员立即开通绿色通道,快速完成CT检查,实施紧急救治,并通知胸心外科和麻醉科及辅助科室做好抢救准备。结果提示,患者左侧多根多处肋骨骨折、左侧胸腔积液、右侧膈疝、脾脏破裂,肝脏挫伤,左上肢粉碎性骨折。


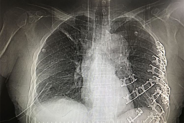
患者胸腹部挤压伤并创伤性窒息,病情极其危重,随时都会有生命危险,容不得半点耽搁。在对患者病情与手术方案进行细致的讨论后,由我院胸外科、创伤骨科、普外科、手麻科等科室专家组成的医疗团队立即对患者进行急诊手术抢救。胸外组经胸腔镜辅助行双侧胸腔探查见左侧4-12肋骨骨折,其中4-10肋骨成粉碎性骨折,左肺下叶广泛挫裂伤,胸腔积血2000余毫升,双侧膈肌破裂、肝脏完全疝入右侧胸腔。普外组探查腹腔积血1000余毫升、脾脏破裂。创伤骨科组探查见左上肢粉碎性骨折,软组织毁损严重,在多学科协作下成功完成左侧血胸清除、肺修补、左侧膈肌修补、左侧肋骨骨折复位内固定术等手术。各学科争分夺秒,配合默契,凭借着娴熟的医疗技术和丰富的临床经验,让奄奄一息的患者重获新生。

由于患者伤情严重,手术创伤大,术后极易继发SIRS、ARDS等严重并发症,术后胸外科医护人员充分利用自身“加速康复外科”的优势,积极预防术后各种可能出现的并发症,目前患者已顺利康复。



