9月15日,陕西省核工业二一五医院普外一科联合碎石中心成功实施了咸阳市首例胰管结石体外冲击波碎石(ESWL)治疗。标志着二一五医院在胰腺疾病微创治疗领域实现了新突破,为慢性胰腺炎合并胰管结石患者带来了新的曙光。

患者翟先生,55岁,因反复腹痛、慢性腹泻长达20余年入院就诊,经检查确诊为“慢性胰腺炎、胰管多发结石伴胰管扩张”。而导致其长期痛苦的根源就是一团横梗在胰管内的巨大的结石!


这些藏在翟先生体内的顽石,不仅体积巨大,而且位置极度刁钻。如果采用开腹取石的传统手术方式,非但创伤面积难以缩小,更存在其他伴生风险。本着不给翟先生增加痛苦与负担的初衷,普外一科联合碎石中心、手麻科和功能科举行多学科联合评估。得益于功能科与影像科的精确定位,翟先生体内结石大小、位置与胰管情况被精准捕捉,在反复推敲病情后,普外一科最终决定创新治疗思路,在咸阳市首次采用“体外冲击波碎石+后续内镜取石”的个体化微创治疗方案,这也是我院体外冲击波碎石技术,在泌尿系结石等常规治疗外,打击范围的再度扩张。
体外冲击波碎石常用于泌尿系结石,在胰管结石治疗中的应用对团队协作能力和碎石技术要求更高。团队选用此技术进行治疗,不仅为患者下一阶段的内镜取石创造了有利条件,也为我市开展此类治疗积累了宝贵经验。

术中,普外一科与碎石中心专家精准操作体外冲击波设备,将能量聚焦于胰管结石,冲击波透过体表,无需开刀便精准击碎了顽固结石。手麻科团队全程保驾护航,确保患者生命体征平稳、舒适无痛。

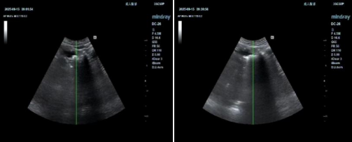
左图:碎石前 右图:碎石后

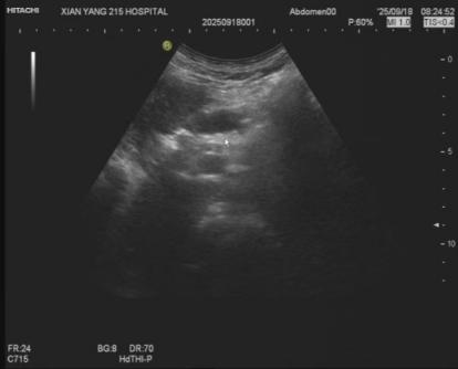
术后
术后的超声复查显示,胰管内结石已被成功击碎,胰管明显通畅,患者状态恢复平稳,未出现胰腺炎急性发作等并发症,现已顺利返回病房。

此次手术的成功,标志着我院在胰腺疾病微创治疗领域迈出了重要一步,更是我院不断提升技术创新能力与多学科协作水平的生动体现。未来,我院将继续秉承“以人民健康为中心”的办院宗旨,不断引进新设备、应用新技术,让更多疑难病患者在家门口就能享受到先进的优质医疗服务。

