2024 年 8 月 28日,时间与生命的赛跑在韩城矿务局总医院胸痛中心再次上演。早上 6 时 54 分,薛峰卫生院胸痛单元救治群内,李云涛医生上传的一份心电图引起了韩城矿务局总医院胸痛中心医疗总监尹哲的高度关注,经判断为急性广泛前壁 ST 段抬高型心肌梗塞。尹哲一边指导卫生院医生就地救治,一边通知急诊科迅速出诊。
7 时 05 分,急诊科值班医生及护士携带院前 STEMI 患者溶栓救治必备药品,随救护车奔赴患者家中。患者王大爷,74 岁贫困户老人,于 0 时 10 分左右在睡眠中突发持续胸闷、气短、伴全身大汗、呼吸困难。6 时 40 分,家人呼叫镇医院值班医生李云涛,李云涛迅速携带心电图机前往患者家中检查,并按胸痛中心培训流程上传心电图至救治群,同时嘱咐患者绝对卧床休息,给予嚼服阿司匹林和氯吡格雷各 300mg。

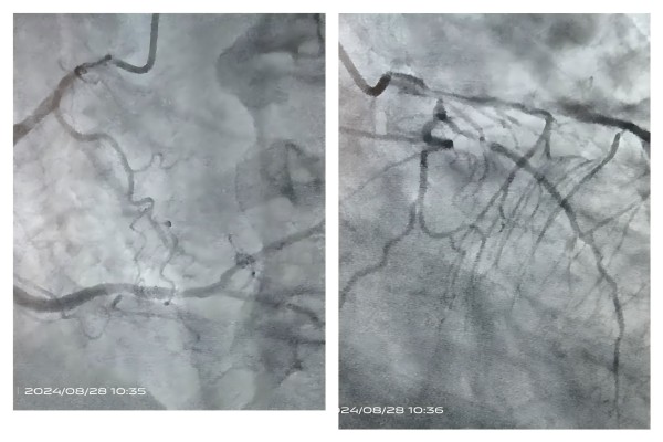
7 时 38 分,救护车历经 20 多公里盘山路抵达患者家中。7 时 40 分,王文娟医生再次行床旁心电图,向家属告知病情,排除溶栓禁忌后,详细阐述即刻溶栓的重要性和必要性,取得家属同意。张江花护士立即为患者静脉采血,7 时 50 分建立两组静脉通路;7 时 54 分,静脉推注肝素钠 3600u;8 时 01 分,静推第一支溶栓药瑞替普酶 18mg。8 时 18 分,患者胸闷、气短症状减轻,经仔细观察皮肤黏膜无出血点后,将患者抬上救护车,给予吸氧、心电监护、血氧饱和度监测等,迅速赶往医院。8 时 34 分,在救护车上静推第二支溶栓药瑞替普酶 18mg。8 时 39 分,救护车绕行急诊科,将患者安全送至心内科 CCU 病房。10 时 10 分,患者胸闷、气短症状消失,急诊行冠脉造影术,提示冠脉三支病变,前降支血流 3 级,溶栓再通。

(溶栓后血管造影)
韩城矿务局总医院胸痛中心建设已有两年多,全院上下一心,以 2024 年胸痛中心建设通过基层版为目标。经过精心筹备、强化培训考核、优化救治流程及专家现场指导等不断改进完善,近期取得显著成绩。通过采取远程信息传输及会诊、区域协同 “无缝” 衔接、绕行急诊和 CCU、介入导管室提前 “激活”、心内科医生提前 “到位” 等候患者等措施,持续缩短 D2N/D2W 时间,让越来越多急性心肌梗死患者受益。
目前,该院已与周边 6 家医疗机构签署胸痛中心区域协同共建协议书,加入渭南市胸痛中心联盟,整合医疗资源、优化救治流程,为区域百姓提供高效、优质、便捷、流程化的服务。

