5月19日,对家住咸阳市秦都区的王先生来说,本来阳光明媚的天气却因突发的胸闷和胸痛,蒙上了一层阴影。随着症状持续加重,家人紧急将他送到陕西健康集团二一五医院。
陕西健康集团二一五医院国家级胸痛中心迅速启动应急预案,随着绿色通道迅速打开,王先生的“生命倒计时”终于按下了暂停。在医院的走廊里,时间仿佛变得缓慢而沉重,胸痛中心医护人员化身“守护神”,迅速而有序地进行各项检查和治疗。刘积伦主任团队也凭借着丰富的临床经验,迅速且准确地判断出了病因——急性心肌梗死。

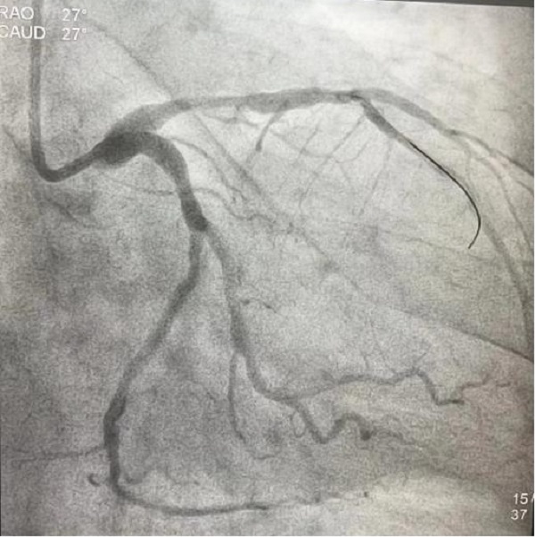
时间紧迫,容不得丝毫犹豫,刘积伦主任团队在告知患者家属相关病情后,立即为患者进行了紧急冠脉造影及支架植入术。手术中,医护人员每一个动作都精准而果断,很快,闭塞的血管被成功开通,恢复3级血流,王先生的心脏重新焕发了生机。


住院期间,主管医生曹蕊面对患者和家属的百般担忧,始终耐心、暖心地给予详尽解答,根据病情及时调整治疗方案,在精神上支持和鼓励他们,一步步引领着王先生和家人走出了疾病的阴云,重新感受到了温暖和希望。在医护团队的共同努力下,王先生逐渐恢复了健康。

“锦旗和感谢信代表了我对你们最真挚的感谢和敬意。”临近出院,王先生手捧着一面烫金锦旗和一张自己亲手写下,长达数千言的感谢信送到科室,“医术精湛,品德高尚;救命之恩,终生难忘。”这十六个字是对医护人员无私奉献精神的肯定,感谢信中“他们不是亲人胜似亲人”的话语更是让所有人感到温暖无比。


除了锦旗和感谢信,王先生及家人更是送来了自己创作的书法与绘画作品,书法作品笔力遒劲,气韵生动,绘画作品色彩鲜明,构图独特,每一个字,每一个笔触都充满了生命力,展现了坚定的意志和积极向上的生活态度。“这次住院,我感受到了心内一科团队精湛的医疗技术、高尚的医德和爱岗敬业的职业精神,是你们用专业的技术和无私的爱心拯救了我,让我重新找回了生命的意义和价值。”每当提到这次住院经历,他的眼里总是充满了感激。
“这是我们应该做的,一面锦旗,代表的不仅是患者的感激之情,也是对医护人员倾情服务的最好回报,更是对医院医疗工作的认可与肯定。心内一科将再接再厉,追求卓越,为更多的患者带来健康与希望。”刘积伦主任表示。

