近日,二一五医院神经内科一病区在王建峰主任带领下,顺利完成了医院首例颅内动脉狭窄药球支架 NOVA支架置入术,标志着医院神经介入技术再次实现突破。
近日,65岁的吕大爷突发头晕,随即出现说话含糊不清等症状,持续加重近一周之久,在家属的陪同下,吕大爷来到二一五医院神经内科一病区就诊。
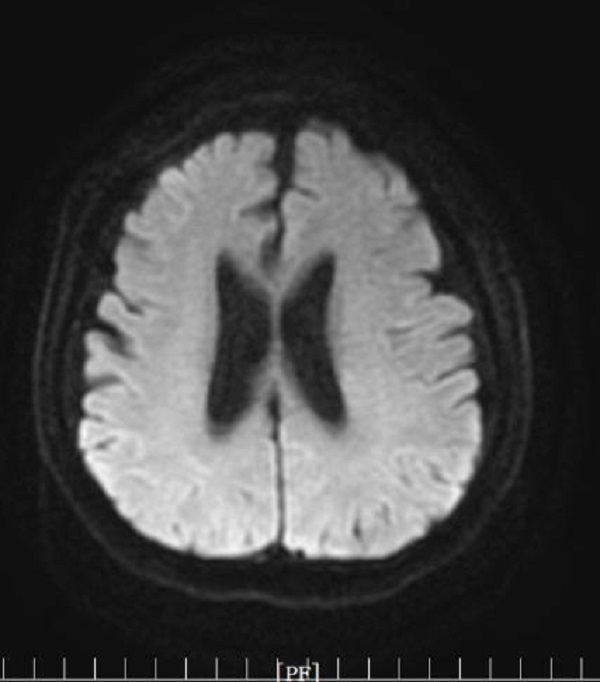
入院后,王建峰主任团队第一时间为吕大爷进行了头颅核磁检查,结果提示双侧枕叶、双侧小脑及右侧丘脑多发脑梗死急性期(图1)。科室随即给予了抗血小板聚集、稳定斑块、静滴活血改善循环、营养神经等治疗,为进一步明确病因,找出“真凶”,在病情较为稳定后,又在局麻下进行了全脑血管造影术(DSA)检查,结果提示右侧椎动脉闭塞、左侧椎动脉V4段重度狭窄,狭窄率约85%(图2),根据多年的临床经验,王建峰主任团队判断,这正是此次发病的责任犯罪血管。

图1

图2
由于吕大爷血管重度狭窄,再次发生脑梗死或症状加重的可能性极高。王建峰主任医师团队对吕大爷血管情况进行了严格评估,多次组织多学科会诊,并与患者及家属积极沟通。在多次研讨和综合考量后,决定为吕大爷行颅内动脉支架置入术。可是,长期以来临床应用的裸金属支架存在支架内再狭窄率高的隐患,对于吕大爷来说,似乎不是最理想的选择。最终,在王建峰主任团队的反复讨论下,决定采用新型介入材料——颅内药物支架NOVA。

NOVA支架作为我国自主研发的全球首款颅内药物洗脱支架,是首个经过完整神经毒性评估的产品,完全无神经毒性。研究发现,与传统裸金属支架相比,NOVA药物洗脱支架能够使支架内再狭窄率下降70%,可以使责任血管区域术后30天至一年内再发缺血性卒中发生率下降88.4%。因此,对于颅内血管狭窄程度较重的患者,NOVA药物洗脱支架目前可能是一种更为合适的选择。
在积极完善术前准备后,王建峰主任团队在局麻下成功进行支架置入术,术后可见左侧椎动脉狭窄解除,血流较前明显改善(图3)。术后吕大爷无明显不适,头晕症状较前明显改善,现已康复出院。

图3
该NOVA支架置入术为我院首例颅内专用药球支架置入,标志着医院神经内科神经介入技术再次迈上新台阶,能够更好地为脑卒中患者提供技术支持,为更多的患者带去切实的帮助和获益。
二一五医院是国家级高级卒中中心,作为咸阳市早期开展神经介入技术的医院之一,医院目前神经介入治疗发展成熟,已成熟开展全脑血管造影术、经桡动脉穿刺全脑血管造影术、急性脑梗死急诊取栓术、急性脑梗死动脉溶栓术、颅内动脉瘤栓塞术、颅内及颅外段动脉狭窄支架置入术等,二一五医院神经内科将持续掌握新理论,钻研新技术,追求卓越,精益求精,为广大人民群众的健康提供强有力的保障。

