半个月前,陕西兴平4岁男孩小铎在玩耍时,不慎从小区内3米高的滑梯跌落,脚跟着地。跌落当时,小铎便痛得不能动弹,随后脚跟迅速肿胀,疼痛难忍。当地医院初步诊断后认为,小铎伤势严重、病情复杂,当地医院不具备小儿骨科诊治经验与条件,旋即建议小铎紧急转入二一五医院骨科医院足踝外科。
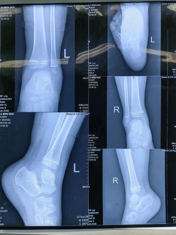
在二一五医院入院时,小铎的左脚红肿异常,一落地就疼痛难忍。足踝外科宋强主任迅速为小铎查体,完善相关基础检查,并根据检查结果诊断小铎为左脚跟骨骨折。

儿童因生理特殊性,骨关节尚未发育成熟,涉及儿童关节的骨折诊断与治疗,需要丰富的临床经验,加之儿童跟骨骨折较成人相对少见,选择最佳的治疗方式就需要医师具备更专业、精湛的技能水平。
病情研判过程中,考虑到孩子年龄尚小,必须以最小的创伤完成治疗,用最快的速度让孩子恢复。宋强主任多频次组织团队阅片讨论,探究最佳诊疗方案。讨论认为,此例跟骨骨折涉及关节面,并且出现关节面塌陷,手术指征非常明确。在与家属充分沟通取得信任和支持后,宋强主任团队决定为小铎施行踝关节镜下微创手术治疗。考虑到儿童的病情进展较快,伤后第3天,手术便紧急开展。
手术过程中,关节镜从微小的窗口进入患儿体内探查,将病灶部位情形以最大视角、最佳角度呈现在监视画面中。关节镜直视下发现,关节面分离移位的程度远超影像资料提供的片面数据,手术的难度与复杂程度比预想的要大很多。在关节镜的辅助下,宋强主任团队专注谨慎,每一个步骤、每一次下刀都力争分毫无差,凭借多年累积的专业经验和技术水平,在约一个半小时的精细操作后,关节成功复位,手术精准且顺利的完成。
“手术很成功,术中通过利用踝关节镜,孩子的创伤很小,仅有两个4mm的切口,愈合更快,避免了大切口手术可能导致的伤口感染、瘢痕挛缩、皮瓣坏死等风险。大约4周以后,孩子就能下地,经过一段时间的康复休养,就可以和之前一样正常生活上学,脚部的功能不会受到影响。”宋强主任向患儿家属科普。
成功的诊治离不开医患双方的共同努力,如果没有家属的支持和对医生的充分信任,像小铎这样的小患者很容易错失治疗的最佳时机。当然,如果缺少果断的决策和医师精湛的技术,同样也难以达到最佳的恢复效果。值得一提的是,此例儿童跟骨骨折关节镜微创手术在咸阳市,尚属首例,却是二一五医院骨科医院足踝外科开展的第400例关节镜微创手术病例。
在医院的支持和团队的共同努力下,足踝外科在各种开放手术的基础上,紧跟学科前沿技术,积极开展关节镜下治疗跟骨骨折、关节镜下跟腱止点重建、关节镜下治疗跟痛症、关节镜下踝关节、距下关节融合术、关节镜下治疗早期踝关节炎、关节镜下治疗距软骨损伤、关节镜下治疗痛风性关节炎等各项微创手术,创造了多项咸阳地区首例诊疗案例。足踝外科将始终不忘患者所托,精医厚德,持续以先进的理念与技术、卓越的技能与服务,造福一方百姓。

