随着我国老龄化程度日益加深,恶性肿瘤已然成为威胁老年人身体健康的第一杀手,但得了恶性肿瘤并不等于就被判了死刑。
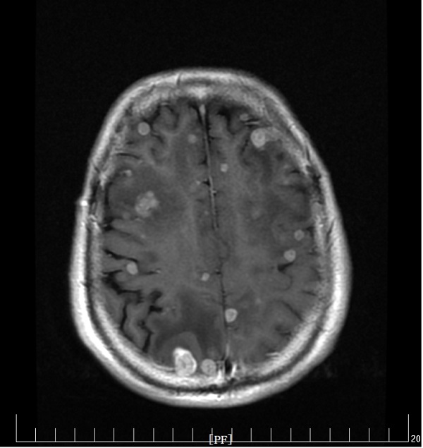
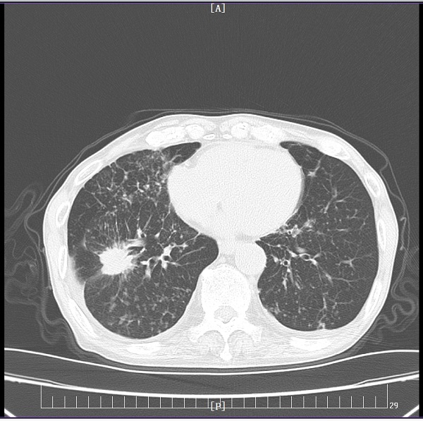
朱大爷今年82岁,2个多月前,突然发现自己时不时会头晕,症状持续加重,影响正常生活,来到陕健医二一五医院肿瘤内科就诊。来院后胸部CT提示:考虑肺恶性肿瘤,头颅MRI提示多发脑转移,考虑恶性肿瘤晚期,朱大爷已82岁高龄,家属一度想放弃治疗。
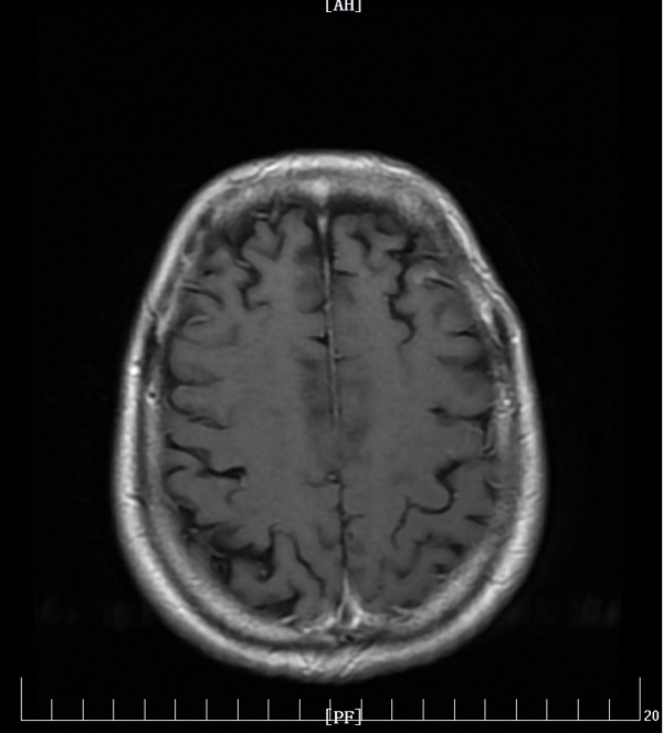
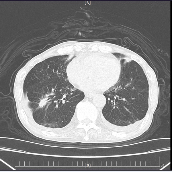
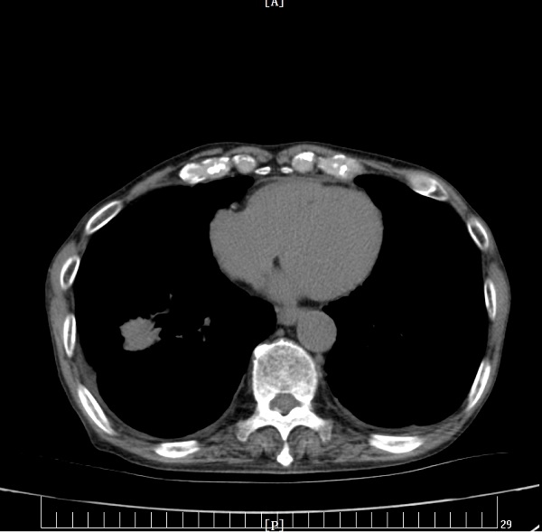
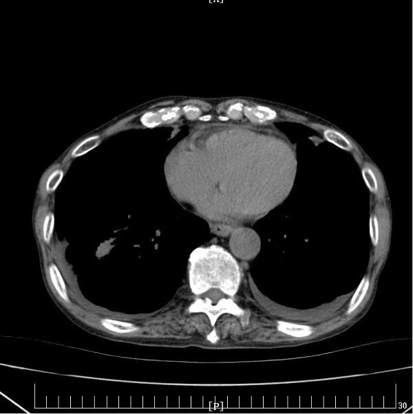
充分研究病情后,刘娟妮主任团队积极与家属沟通,对症治疗的同时,在CT引导下行经皮肺穿刺活检术,术后病理提示:中分化腺癌,基因检测结果提示:EGFR Exon19突变。明确诊断后,刘娟妮主任团队一边安慰患者及家属的情绪,一边对患者的全身状况及疾病进行了充分的评估,邀请相关科室会诊,经MDT讨论并结合患者目前症状、基因检测结果分析及国内外最新指南推荐,制定了个性化的治疗方案,给予口服三代靶向药控制肿瘤。治疗1个月后,复查头颅MRI及胸部CT,结果显示患者肺原发肿瘤、脑多发转移瘤较前均缩小、部分消失。

治疗前

治疗后

治疗前

治疗后

治疗前

治疗后
经过一段时间的治疗,朱大爷现在精神状态良好,头晕症状消失,生活可以自理,生活质量明显提高,朱大爷及其家属对目前治疗效果非常满意,满怀信心和希望出院。
靶向治疗是目前针对恶性肿瘤的一种有效治疗手段,在肺癌、乳腺癌、消化道肿瘤治疗中取得了非常好的治疗效果。陕健医二一五医院肿瘤内科通过多学科诊疗模式,为肿瘤患者提供个体化诊疗方案,开展手术前后规范化新辅助和辅助放化疗,不能手术的患者放化疗、免疫及生物靶向治疗、全身各部位恶性肿瘤晚期姑息治疗及恶性胸腹水的治疗,尽最大努力解除患者痛苦,延长生存期。

