近日,陕健医二一五医院骨科医院足踝外科成功为一位56岁女性实施踝关节镜下清理踇长屈肌腱转位跟腱功能重建术,手术创伤小,术后伤口恢复快,标志着医院足踝外科关节镜技术达到国内先进水平。
患者为56岁女性,饱受跟腱炎折磨5年,病程中长时间保守治疗,曾局部封闭治疗3次。此次因意外碰撞,导致跟腱自发性断裂,患者跟腱严重钙化变性,累计跟腱长度较长,约6厘米。术前足踝外科宋强主任团队经过商讨,结合患者意愿,决定为其行踝关节镜下跟腱清理踇长屈肌腱转位跟腱功能重建术。

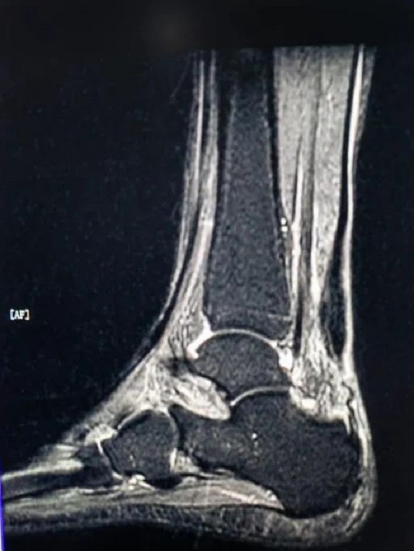
术前外观照,跟腱断端明显 术前MRI图像


术中关节镜下操作

术后即刻照片
跟腱炎是一种由于跟腱反复受到剧烈拉伸产生劳损后引起的退行性改变,主要临床表现是脚跟上方疼痛,肿胀和僵硬,静息时表现不明显,活动后症状加重。早期可以通过药物治疗、休息、局部理疗等方法来缓解疼痛,严重时可通过微创手术干预。
陕健医二一五医院骨科医院足踝外科已成功开展多例关节镜下清理骨赘切除治疗跟腱炎手术,效果显著,可以有效预防本例患者出现的跟腱自发性断裂,延长跟腱寿命。与常规手术相比,微创下踇长屈肌腱转位能够有效的降低伤口不愈合以及伤口感染的风险,尤其适用于合并血管功能障碍,活动性感染,局部皮肤条件差,严重的内科基础疾病,高龄低运动需求,重度糖尿病等并发症患者。

