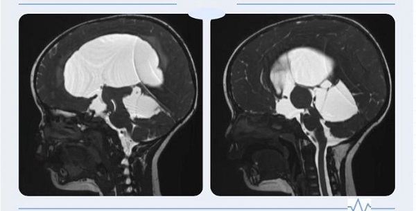
一岁多的赫赫自出生头颅就比同龄小孩大,近半月来进食后出现呕吐、头痛,哭闹不止,在省内多处求医未果,最终慕名来到陕健医二一五医院神外重症监护室就诊,行磁共振检查后诊断为“梗阻性脑积水”。

经过严密的术前评估及准备,顺利完成了“神经内镜下第三脑室底造瘘术及Ommaya囊植入术”。术后小赫赫住进了监护室,没有父母的陪伴,陌生的环境让小赫赫产生了巨大的恐惧感,神外重症监护室医务人员除了严密观察患儿的病情变化外,也让经验丰富有带孩子经验的护士专人看护,在科室无微不至的关心爱护下,小赫赫的症状逐渐缓解,经过术后恢复,已经痊愈出院。

孩子就是家庭的希望,看到孩子痊愈出院,恢复了往日的笑容与活力,小赫赫家人的感激之情无以言表,他们为科室送来了锦旗、牌匾及感谢信,用最朴实的方式来表达对科室全体医护人员最崇高的敬意和最诚挚的谢意。有时治愈,常常帮助,总是安慰,陕健医二一五医院神经重症监护室全体医护人员也将继续怀着一颗救死扶伤的赤子之心,守护更多患者的生命健康。

