病理性骨折为正常的骨质结构发生病理性改变,在轻微外力作用下发生的骨折。其治疗不能完全照搬一般骨折的治疗方法,要根据患者的具体情况制定个性化方案,既要处理骨质的原发病,同时要处理好骨折。
退休李师傅今年79岁,4个月前因右侧股骨近端病理性骨折在外院行瘤体切除,钢板内固定手术。近期下地活动时轻微扭伤后感右大腿根部疼痛伴活动受限,来陕健医二一五医院拍片提示:右股骨近端骨折术后再骨折伴内固定断裂。老年患者的股骨近端骨折若不积极正规治疗,可能因长期卧床引起肺部感染、泌尿系感染、深静脉血栓、褥疮等并发症,被称为“人生的最后一次骨折”。
创伤骨科郭永良主任、王争刚主任医师仔细了解患者病史、查体阅片,和患者家属多次沟通,阐明各种治疗方案的优缺点,最终决定行右股骨近端内固定钢板及骨水泥取出、人工股骨头置换术。手术由郭永良主任亲自主刀、在王争刚主任医师等辅助下进行,历时1.5小时顺利完成。现术后3周,患者髋关节功能恢复良好,可扶拐下地活动。
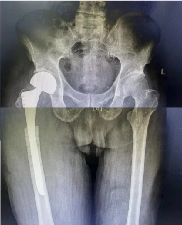
术前X片:

术后X片:

陕健医二一五医院咸阳骨科医院创伤骨科是医院重点科室,承担着本地区创伤急诊危重病人的救治工作。科室以骨与关节损伤的诊疗救治为基础,同时兼顾交叉领域和各种骨科疑难杂症。医疗技术力量雄厚,近年来开展多项新技术、新项目,使区域内患者的救治效果屡上新的台阶。

