近日,陕健医二一五医院介入血管科来了一位如孕4月的患者。
李大姐今年45岁,常年月经量过多、经期过长,曾就诊于多家医院,均诊断为“子宫肌瘤”,多次建议行子宫切除手术治疗。因担心手术风险及后遗症,李大姐一次又一次拒绝手术治疗。时间一天天过去,李大姐因过量失血导致贫血,越来越严重,子宫肌瘤越长越大,并出现头晕、目眩,肛门坠胀,尿频,憋尿困难等多种不适。一次偶然的机会,李大姐发现“子宫肌瘤”可通过介入方式进行治疗,于是怀着忐忑的心情来到陕健医二一五医院介入科就诊,张峰副主任医师给予详细讲解后住院治疗。
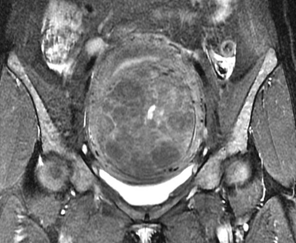
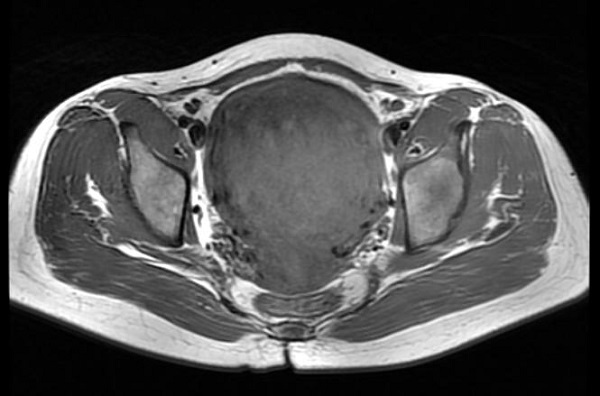
入院后给予抽血检查,随即检验科回报危急值:血红蛋白(46g/L)。立即给予输血治疗后,患者头晕、乏力等症状较前明显好转。完善盆腔磁共振,肌壁巨大子宫肌瘤(10.8cm×8.8cm×8.4cm)。经过制定详细手术计划后,排除手术禁忌,给予行“选择性子宫动脉栓塞术”。


(术前磁共振)
手术从股动脉进行血管穿刺,创伤小,恢复快,完整保留子宫。术中可见子宫肌瘤血供明显。

(栓塞前子宫肌瘤血管显影)


(栓塞后子宫肌瘤无血运)
术后第二天患者下床活动自如,穿刺伤口已完全恢复。经过短暂药物辅助治疗后,子宫肌瘤触诊较前明显减小,无腹痛、腹胀,尿频、肛门坠胀感均较前明显好转。患者十分满意,目前已康复出院。
延伸阅读
子宫肌瘤又称子宫平滑肌瘤,是女性生殖器最常见的一种良性肿瘤,常见于孕龄妇女。患病率高达70%。虽然大多数女性没有症状,但有些女性会出现盆腔疼痛、月经过多、子宫出血、贫血、不孕或其它症状(尿频、便秘、腹胀、压力、性交困难等)。根据患者的年龄、生理及心理需求的不同而有多种诊疗方案,传统的治疗方法有病灶剔除术、子宫次全切除术或子宫全切除术等。但是对于年轻、有保留子宫需求的子宫肌瘤患者,可选择使用子宫动脉栓塞术(uterine artery embolization,UAE)的方法。术后恢复快、术后并发症少的特点,成为症状性子宫肌瘤及子宫腺肌病治疗中有效的备选方案之一。

适应症:
(1)育龄期女性,绝经之前。
(2)无生育要求的症状性子宫肌瘤,包括月经量多,疼痛,压迫周围器官继发尿频、便秘和腹胀等。
(3)保守治疗无效或者复发者。
(4)无症状性子宫肌瘤,肌瘤直径>4cm。
(5)无症状性子宫肌瘤,肌瘤直径≤4cm,患者心理负担重要重,要求治疗者。
(6)体弱或合并严重内科疾病如糖尿病等不能耐受手术者。
(7)巨大子宫肌瘤行子宫切除术前的栓塞术,目的是减少术中出血。

陕健医二一五医院介入血管科是咸阳市最早成立的独立周围血管介入的专业科室,已成熟开展外周血管性疾病、子宫肌瘤、肝癌、肾癌、肺癌、急性出血性疾病等相关疾病的微创治疗。

