每个父母都希望自己的孩子平安健康,但有些孩子自出生就与众不同,比如多指(趾)畸形的孩子。
5岁的小哲就是这些孩子中的一个,天生的双足第五趾多趾并趾畸形让他不能穿凉鞋,也不能欢快的蹦蹦跳跳,随着年龄的增长,足趾畸形明显,小哲父母心里焦急,带着孩子来到陕健医二一五医院咸阳骨科医院手·显微外科就诊。


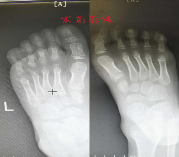
经过初步查体,见小哲双足六趾多趾畸形,甲相连,共趾蹼,5.6趾并趾畸形,以“双足第5趾并趾畸形”诊断住院。术前,手·显微外科团队为小哲精心设计了手术方案,5月3日,小哲成功接受了“双足第五趾多趾切除并趾分离术”,手术顺利。术后第二天,小哲已经能和小朋友在病房里开心的玩闹了,小哲的父母也露出了开心的笑容。
先天性多指(趾)畸形(polydactyly)是手、足部最常见的一种先天性畸形,可伴并指(趾)及短指(趾)畸形。以拇指多指最为常见,约占总数的90%。多指的病因目前尚未完全明确,目前多数医学界权威认为这是一种染色体的疾病,部分与遗传有关。手术可在小儿3个月或更早进行。根据不同类型的多指,手术最佳年龄略有不同。但都不宜过晚。多指(趾)畸形,不仅会造成生理功能障碍,很多时候会造成孩子心理健康障碍。所以有这方问题的患儿家长,应及时带孩子到医院就诊。

二一五医院骨科医院手·显微外科在急诊手足外伤、手部功能重建、周围神经损伤、断肢、断指再植及拇指手指再造、腕关节损伤、先天手足畸形等诸多领域均居区域领先水平,对多指(趾)、并指(趾)、多发关节挛缩、拇指发育不良具有丰富的治疗经验。

