近日,陕健医二一五医院胸外科成功为一老年患者施行RS3+RS4+5联合肺段切除术。
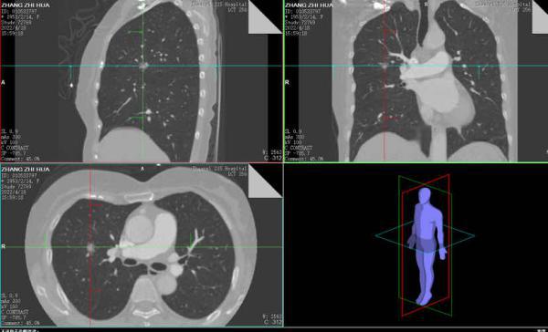
69岁的张阿姨3年前因肾肿瘤行右肾切除术,此次复诊时查胸部CT发现右肺多发结节,临床考虑恶性可能性大,需尽快手术治疗。但因张阿姨年龄大,既往有右肾切除史,常规的肺叶切除手术会显著增加围手术期风险,严重影响术后的生活质量。薛锋主任多次带领全科医生进行了认真的讨论,根据术前肺结节三维重建的信息,最终决定对患者实施联合肺段切除手术。


肺段切除术是肺结节及早期肺癌的重要治疗手段之一,精准的肺段手术是肿瘤学疗效和肺功能保护的前提,目标是在彻底切除病灶的同时最大程度地保留健康肺组织。胸外科团队通过专业软件对肺结节的位置进行了精确的定位,清晰显示出结节所处的肺段及靶段相关的支气管、血管情况。根据信息在术前进行详细的手术规划,确保了术中安全的、精准的切除靶肺段。

薛锋主任医师团队术中探查情况和术前的定位信息完全一致,根据术前的规划方案施行RS3+RS5切除术,术中冰冻病理提示RS3所处病灶为微浸润腺癌,RS5所处病灶为浸润性腺癌,为确保手术疗效,进一步施行RS4切除术,手术过程顺利,术中出血20毫升左右。手术切口仅有3cm,患者术后未出现相关并发症,术后48小时拔除引流管,术后1周康复出院。
二一五医院胸外科2021年开设“肺结节门诊”,能够完成肺结节鉴别诊治、胸腔镜下肺结节楔形切除术、肺段切除术、肺癌根治术及支气管袖状切除术、隆突成形术、支气管肺动脉双袖状切除等复杂手术,胸腔镜微创技术精湛,手术切口、术后疼痛轻、恢复快,疗效显著,目前是咸阳市首家胸外科快速康复示范病房。二一五医院胸外科致力于肺结节的微创诊疗及肺癌的早防、早治,为广大患者提供更优质的医疗服务!

