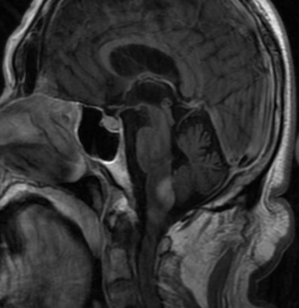
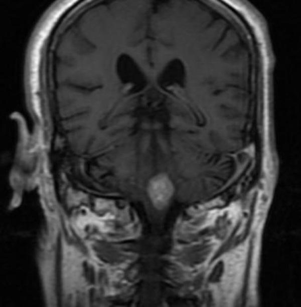
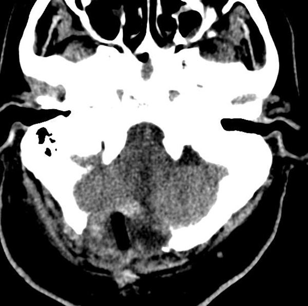
12月27日,陕健医二一五医院成功为一名73岁患者行延髓肿瘤切除术,此次手术为咸阳市首例,填补了咸阳地区级医院独立开展脑干肿瘤切除的技术空白,标志着二一五医院在脑干病变的诊疗技术上再上新台阶。


73岁的刘大爷因“言语不利、饮水呛咳及肢体无力”在当地医院以“脑梗塞”住院治疗10天,症状进行性加重,转入二一五医院进一步治疗,神经外科肖三潮教授、谢国强主任通过全院多学科会诊,经过充分评估患者病情后考虑,目前肿瘤占位效应明显,压迫延髓,导致患者呼吸功能紊乱,随时存在呼吸停止可能,唯有尽快手术切除肿瘤才能挽救患者生命,但延髓手术风险极大,术中患者随时存在呼吸心跳骤停可能,向患者家属充分告知手术必要性及危险性,征得家属同意后,12月27日,神经外科肖三潮教授、神经重症监护室谢国强主任、吴东飞主治医师在全麻下为患者行延髓占位切除术。

术中保留患者自主呼吸,严密检测生命体征变化,术中多次出现呼吸及心跳减慢,麻醉师予以兴奋呼吸等积极治疗,最终转危为安,历时6小时,手术顺利完成。术后患者神志清楚,术后三天脱机,右侧肢体功能正常,左侧肢体肌力同术前(3级),目前正在逐步康复中。

陕健医二一五医院神经重症监护室作为“咸阳市数字神经外科及人工智能创新团队”及“咸阳市脑神经功能研究重点实验室”研究基地,在省内较早提出“低成本增强现实技术在脑出血定位中的应用”理念。已将此项技术应用于脑干出血穿刺定位、肿瘤定位等多种神经系统疾病手术入路设计,取得了显著的临床效果。多年来始终秉持“全心全意为人民服务”的工作宗旨和“以尽可能小的创伤换取治愈及缓解疾病”的微创理念,已相继开展高血压脑出血、脑胶质瘤、垂体瘤、脑积水等多种神经系统疾病的诊治,为患者指定个体化诊疗方案,解除患者病痛,得到广大患者好评。

